neuroaesthetics: why the brain loves pretty things
brief dive 03: the roots of neuroaesthetics, what happens in the brain when we encounter something beautiful, and why our relationship to beauty has always been about more than just taste or influence
Welcome to the brief dives series — a project to turn research into something both informative and accessible. The hope is to inspire continued learning and encourage curiosity, both for myself and for anyone who enjoys exploring the stories behind the things we encounter every day.
Think of your pinterest boards or the mesmerizing video you’ve watched over and over. The way a certain song brought you to tears, or the enchantment of watching a powerful dance. It’s all, in it’s own way, aesthetically pleasing. Something many would probably agree on.
Beauty is often regarded as preference, or simply a matter taste, but more commonly than not, a standard. It’s seen as something both objective and subjective and, at times, a little unserious or shallow. But there’s certain experiences complicate that idea, for example, a place that immediately calms you or a piece of music that describes a feeling words can’t.
Across cultures and centuries, we have seen evolution of beauty and the associated standards. Still, I think humans have returned again and again to the same notion: beauty move us in unspeakable ways. We have built temples and cathedrals, painted caves and masterpieces alike to hang side by side in museums, composed music that is felt in the soul. Long before we could explain these impulses, we felt their pull.
Neuroaesthetics is a modern name of this pull that has been experienced for centuries. It’s a newer area of study that intersects neuroscience, psychology, and art. It looks at how the brain and nervous system respond to beauty — how art, music, color, and form shape our emotions, attention, and sense of meaning.
This brief dive looks at the roots of neuroaesthetics, what happens in the brain when we encounter something beautiful, and why our relationship to beauty has always been about more than just taste or influence.
a short history of neuroaesthetics
ancient intuitions
From early times, humans, and philosophers specifically, were attempting to understand beauty.
Plato wrote about beauty as a pathway, or a transcendent bridge, something that could lift the mind toward truth and goodness, shaping character in itself. Beauty, to him, was formative, and encountering it could change how a person thought, felt, and oriented themselves in the world. In his mind, it had no physical form. Aristotle approached beauty more practically, describing it in terms of order, proportion, and clarity. It was that beautiful things existed opposed to beauty as a concept experienced. His observations hinted that the human mind seems to respond more easily to certain structures than others — an early sense that beauty might be tied to how the mind organizes experience.
Similar intuitions appear throughout the globe and history. Sacred spaces across cultures were built to capture the senses in intentional ways with high ceilings, symmetry, light, and/or repetition meant to evoke awe and veneration. Music was woven in as a force capable of shifting emotion and attention. No one was yet studying neural pathways or scanning brains, but there was a shared understanding that beauty impacts people. That it alone could calm, elevate, orient, or transform.
the modern turn
It wasn’t until the 19th century that scientists began seriously considering perception itself as a subject worth studying. Researchers started asking how the eye processes color, how the ear perceives sound, how the brain organizes sensory input. Though the true shift of imcorporating how aesthetics play a role in our would came in the late 20th century, alongside advances in neuroscience and brain imaging.
In the 1990s, neuroscientist Semir Zeki began studying how the brain responds to art. Instead of asking people to describe what they liked, he looked directly at neural activity while participants viewed paintings, faces, and patterns. His work suggested that aesthetic experience wasn’t vague or purely cultural, but instead that it was rooted in identifiable brain processes.
When people looked at the images they perceived as beautiful, specific regions of the brain activated consistently, particularly those associated with reward and pleasure.Beauty, Zeki argued, was not ineffable. It is structured, and the brain is actively responding to it.
V.S. Ramachandran, alongside Hirstein, pushed this further — he proposed that artists unknowingly act as experimental neuroscientists. They isolate visual features, whether they realize it or not, that resonate with how the brain processes information. Art, in this sense, reveals something fundamental about perception itself. This is what Ramachandran outlined, what he called the eight laws of artistic experience, to describe how art amplifies perceptual signals the brain finds rewarding.
Around this time, the term neuroaesthetics was coined to describe this emerging intersection of neuroscience and aesthetics: a field focused on understanding the neural foundations of beauty.
In the early 2000s, neuroaesthetics began truly gaining traction. With the recent development of Functional MRI scans, scientists were now able to observe which regions of the brain activated during aesthetic experiences. Researchers expanded beyond visual art to study areas sucha as music, architecture, dance, and design. While the sensory inputs differed, the underlying patterns were strikingly similar.
What they found challenged the idea that beauty was merely a matter of taste, or an abstract idea. Different forms of beauty, whether it be paintings, music, or dance, consistently engaged neural areas linked to emotion, reward, memory, and self-reflection. Aesthetic experience, it turned out, was complex, and far more engaging that imagined. It shifted the notion of beauty as a concept to something the brain actively participates in.
neuroscience behind beauty
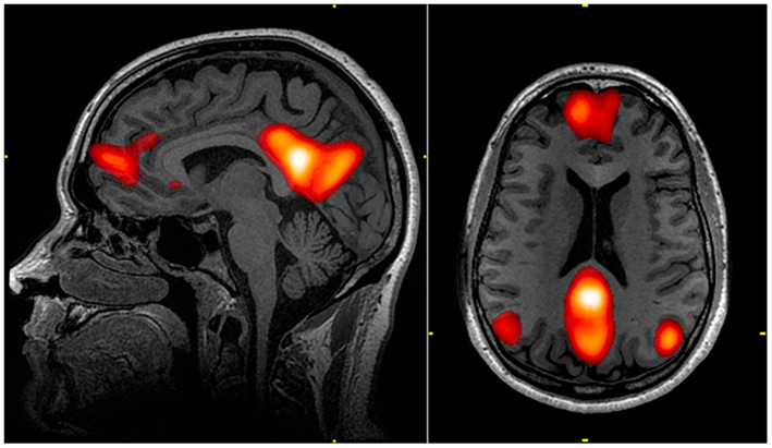
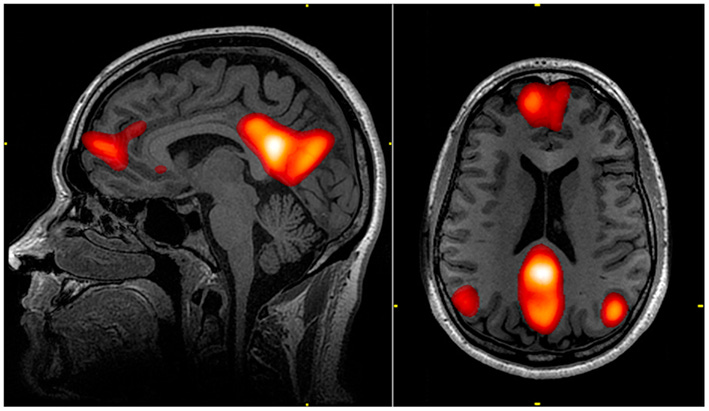
When we encounter something we find beautiful, the brain does not respond in a simple way. Multiple systems activate at once, each contributing a different layer to what we feel. This is part of why beauty can feel so immersive—why it registers emotionally, physically, and cognitively all at the same time.
sensory specialization
At a basic level, beauty begins in the sensory cortex.
Visual art activates specialized regions of the visual cortex responsible for processing color, form, motion, and spatial relationships. Music engages the auditory cortex, rhythm recruits motor regions, and dance or movement-based art activates networks tied to bodily awareness.
Semir Zeki’s work emphasized that the brain processes these features in parallel. Color, shape, and movement are handled by different systems simultaneously, which are then integrated into a unified experience. This helps explain why certain combinations feel particularly captivating. The brain is responding to multiple streams of information at once.
the reward system
One of the most consistently activated areas during aesthetic experience is the reward system, particularly the medial orbitofrontal cortex (mOFC). This region is involved in evaluating meaning of an experience. It activates when we eat good food or experience positive social connection, and also when we view art or listen to music we find throughly enjoy.
This suggests that beauty is processed similarly to other rewarding experiences. The brain treats it as something worth paying attention to due to the potential for benefit. Dopamine (a neurotransmitter associated with motivation and pleasure) is also released, reinforcing the experience and making us want to return to it.\
emotion and the limbic system
Aesthetic experiences also engage the limbic system, which governs emotion and memory. Structures like the amygdala and hippocampus help explain why beauty can feel emotionally charged or personally meaningful.
The amygdala plays a role in emotional salience while the hippocampus is involved in memory formation. When both are engaged, experiences are more likely to stick. This is why certain songs can feel tied to specific moments in our lives, and why some images feel oddly intimate.
the default mode network
Beauty also activates the default mode network (DMN), a set of brain regions engaged when an individual is not actively engaged in the world around them. It is exactly what it’s name suggest: autopilot. This network is important though for engaging in introspective activities such as daydreaming, reflection, and emotional processing.

When the DMN engages during aesthetic experience, it begins to feel personal as we connect it to reflection and emotions. This may be why art can prompt nostalgia, or a sense of connection, even without explicit narrative.
nervous system response
Beyond specific brain regions, beauty affects the autonomic nervous system, which governs arousal and relaxation.
Studies suggest that aesthetically pleasing stimuli can shift the body toward parasympathetic activity, or the “rest and digest” state. This physiological shift helps explain why beauty often feels calming or grounding. Importantly, beauty tends to occupy a middle ground that holds attention, but not so intense that it overwhelms. It’s a balance that allows the nervous system to remain engaged without entering stress.
putting it together
At a fundamental level, the brain is a prediction machine. Its primary job is to make sense of the world as efficiently as possible and prevent harm. The brain experiences pleasure when information is easy to interpret, something refered to as processing fluency.
This is why symmetry appears again and again in art, architecture, and nature — commonly know as the Golden Ratio. From an evolutionary perspective, symmetrical faces and forms were often associated with health and safety, which may also explain why the brain treats them as rewarding. Over time the brain forms mental averages of everything we routinely perceive, and responds positively to versions that closely match those internal templates. And because beauty engages systems tied to survival, prediction, and reward, the body responds alongside the brain leaving us with the full body experience.
While these processes are biologically designed for efficiency and safety, when the brain recognizes something that aligns with its expectations while still offering a slight bit of novelty, it releases dopamine. For a basic example, a group of artist can paint the same image, but the work of a talented artist may stand out amoung the average artists due to the slight bit of novelty in the work.
In this sense, beauty is a constant subconscious evalution of experiences.
beauty shapes our daily lives
Aesthetic experiences often function as subconscious regulation tools —whether we recognize them as such or not. They bring us back into the body, and back into the present moment. From a neurological perspective, this matters. Attention that isn’t driven by stress allows the brain to integrate information more fully, rather than rushing past it.
Aesthetic preferences also help us maintain a sense of continuity over time. The colors we’re drawn to, the art we save, the songs we replay all become markers of identity. And they reflect inner states we may not yet have words for.
As we change, what we find beautiful often changes too. In a way, it’s a building piece of who we are and the world. Beauty tracks our inner life in subtle ways, offering a kind of nonverbal self-understanding of ourselves and the world around us.
Aesthetic experience is not confined to one part of the brain, or even the body. It is a whole-body event, integrating perception, feeling, and reflection at once. This complexity challenges the idea that beauty is superficial or secondary. Neurologically speaking, it’s integrated into how we process the world. Which raises a larger question: If beauty engages so many systems at once, what happens when we remove it from our daily lives?
- more content on neuroaesthetics -
Neuroaesthetics: A Coming of Age Story - Dr Anjan Chatterjee (Penn Center for Neuroaesthetics)
Plato’s Aesthetics - Stanford Encyclopedia of Philosophy
3. History of Aesthetics: Plato on Beauty by Michael Spicher (ARL)
Beauty - Stanford Encyclopedia of Philosophy
Sonically Sacred Sites | Jonathan Berger, Stanford University
How the Brain Explains Art: The Science Behind Neuroaesthetics
The Neuroscience of Creativity: Exploring How Art Affects Mental Health And Cognitive Function
The striatum beyond reward: caudate responds intensely to unpleasant pictures
please share your thoughts on this topic, or any topics you’d like to read about in the future <3
send me a coffee
follow me on instagram & rhome
get the snail mail club









As far back as I can remember, beauty has always made me pause, calmed me down, evoked awe. I found myself saying YES to each new revelation in your article, recognizing the explanation for what I am intrinsically aware of.
Neuroscience is such an interesting topic! There's so much about the ways the brain works that we don't know or think about in our daily lives. Loved this eye-opener